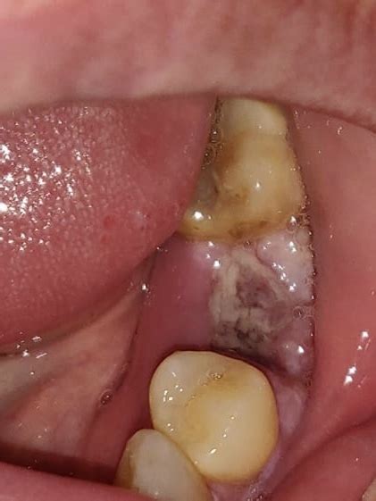
white stuff after tooth pulled

white stuff after tooth pulled

white stuff after tooth pulled. There are any references about white stuff after tooth pulled in here. you can look below.

Showing posts matching the search for white stuff after tooth pulled